Restore Confidence and Function with a Lower Anterior Implant Bridge in Auburn

At Smiles for Life in Auburn, IN, Dr. Nate Heffelfinger provides advanced implant bridge solutions designed to restore strength, aesthetics, and long term oral health. For patients searching for an experienced Auburn dentist or the best dentist near you, lower anterior implant bridges offer a dependable and lasting option. If you’re in need of a lower anterior implant bridge, contact our Auburn dental practice by calling 260-925-4290.
Why Patients Trust Dr. Nate Heffelfinger for Implant Bridges in Auburn, IN
Placing lower anterior implant bridges takes more than basic implant knowledge. This area of the mouth demands careful planning, precise placement, and a strong understanding of how implants interact with speech, bite function, and jaw movement. Dr. Nate Heffelfinger brings a thoughtful, detail driven approach to every implant bridge case at Smiles for Life in Auburn, IN.
Rather than using a one size fits all treatment plan, Dr. Heffelfinger evaluates each patient’s bone structure, bite alignment, and long term goals before recommending an implant solution. This individualized planning helps ensure stability, comfort, and natural looking results.
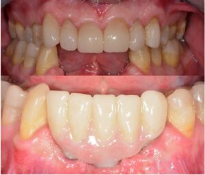
What Is a Lower Anterior Implant Bridge?
A lower anterior implant bridge is a fixed dental restoration used to replace multiple missing teeth in the lower front of the mouth. Instead of relying on natural teeth for support, the bridge is anchored to dental implants placed in the jawbone.
This type of restoration includes:
- Dental implants surgically placed in the jawbone
- A custom bridge that replaces the missing lower front teeth
- Secure attachment that does not rely on neighboring teeth
Unlike removable dentures, implant bridges stay firmly in place and function like natural teeth.
Why Lower Front Teeth Are Unique

Lower anterior implant bridges are designed to:
- Restore stability in a high movement area
- Prevent jawbone loss in the lower front jaw
- Improve speech clarity
- Maintain facial support and appearance
An experienced dentist in Auburn, IN is essential to ensure proper implant placement and long term success.
Benefits of Lower Anterior Implant Bridges
Lower anterior implant bridges offer several advantages over traditional bridges or removable partial dentures.
- Permanent, fixed tooth replacement
- No reliance on surrounding natural teeth
- Improved biting and chewing strength
- Natural appearance and feel
- Preservation of jawbone structure
- Enhanced speech and confidence
For many patients, implant bridges provide the most stable and comfortable solution for missing lower front teeth.
Who Is a Good Candidate for a Lower Anterior Implant Bridge?
Not everyone is a candidate for implant treatment, but many patients qualify. You may be a good candidate if you:
- Are missing two or more lower front teeth
- Have healthy gums and good oral hygiene habits
- Have sufficient jawbone or are a candidate for bone support procedures
- Are in generally good health
- Want a long term tooth replacement solution
During your consultation at Smiles for Life, Dr. Nate Heffelfinger will evaluate your oral health, jawbone structure, and goals to determine the best treatment plan.
The Lower Anterior Implant Bridge Process at Smiles for Life

Step by step treatment typically includes:
- Comprehensive Consultation and Planning – Dr. Heffelfinger evaluates your smile, takes digital imaging, and designs a personalized treatment plan.
- Dental Implant Placement – Implants are placed into the jawbone where they will fuse with the bone over time.
- Healing and Integration Period – The implants integrate with the jawbone to create a stable foundation.
- Custom Implant Bridge Placement – A custom designed bridge is securely attached to the implants, restoring your smile.
This process ensures strength, stability, and a natural appearance.
Caring for Your Lower Anterior Implant Bridge
Proper care helps ensure the longevity of your implant bridge.Recommended care includes:
- Brushing twice daily with a soft toothbrush
- Flossing daily using implant safe tools
- Attending regular dental cleanings
- Avoiding excessive biting on very hard foods
With proper maintenance, implant bridges can last many years and often decades.
Frequently Asked Questions
Lower anterior implant bridges are designed to be a long term solution. With proper oral hygiene, routine dental visits, and healthy gums, many implant bridges last 15 years or longer. The implants themselves can last even longer when properly cared for, making this one of the most durable tooth replacement options available.
Yes, implant bridges feel very similar to natural teeth because they are anchored directly to the jawbone. This stability allows patients to bite, chew, and speak comfortably without the movement often associated with dentures. Many patients report forgetting they even have a dental restoration after a short adjustment period.
Most patients experience minimal discomfort during and after the implant procedure. Local anesthesia is used to keep you comfortable, and post procedure soreness is usually mild and temporary. Dr. Heffelfinger provides detailed aftercare instructions to help ensure a smooth and comfortable recovery.
The number of implants depends on factors such as the number of missing teeth, jawbone density, and bite forces. In many cases, two or more implants are used to securely support the bridge. Dr. Heffelfinger carefully plans implant placement to ensure long term strength, balance, and stability.
Restore Your Smile With a Permanent Implant Solution
Lower anterior implant bridges provide a stable, long term solution for missing lower front teeth. They restore confidence, function, and oral health while preventing future bone loss.
At Smiles for Life in Auburn, IN, Dr. Nate Heffelfinger is committed to helping patients achieve strong, natural looking smiles. If you are missing lower front teeth and searching for an Auburn dentist near you, schedule a consultation today by calling 260-925-4290.
We proudly serve patients in Auburn, IN, Garrett, Waterloo, Butler, Kendallville, and surrounding areas.
